شاهد ماذا فعلت السيجارة الإلكترونية برئة فتى أردني (صورة)
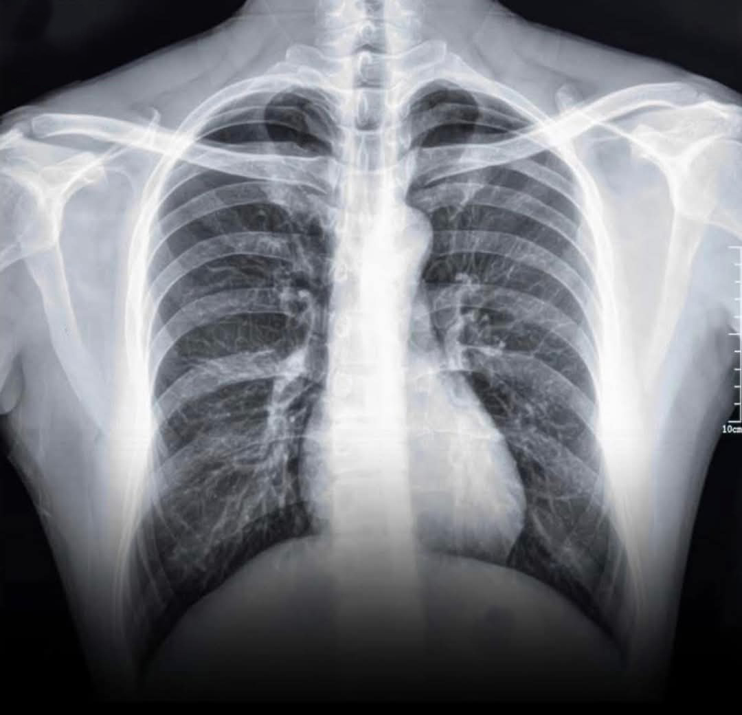
وجّهت طبيبة أردنية تحذيرًا شديد اللهجة إلى الأهالي والمراهقين من مخاطر استخدام أجهزة التدخين الإلكتروني "Vape"، وذلك بعد أن نشرت صورة صادمة تُظهر رئة متليّفة لشاب يبلغ من العمر 16 عامًا، تعرّض لمضاعفات خطيرة بعد عام واحد فقط من استخدام هذه الأجهزة بشكل سري.
وقالت الطبيبة في منشورها: "هاي صورة رئة شاب عمره 16 سنة، كان يستخدم الـVape من ورا أهله.. سنة وحدة بس، كانت كافية تتسبّب بتليّف دائم في الرئة. اليوم، عايش على الأوكسجين ليل نهار، بياخد الاسطوانة معاه على المدرسة، وممنوع يلعب رياضة أو يعيش حياته طبيعي."
وأشارت إلى أن الحالة الطبية التي أصيب بها المراهق تُعرف علميًا باسم "Popcorn Lung" أو Bronchiolitis Obliterans، وهي حالة مرضية نادرة ولكنها خطيرة، تُسبب تلفًا دائمًا في الشعب الهوائية الدقيقة داخل الرئة، ولا يوجد لها علاج يعيد الرئة إلى حالتها الطبيعية.
وختمت الطبيبة رسالتها بنداء إنساني قائلة: "رجاءً، انتبهوا لحالكم ولولادكم."
ويأتي هذا التحذير في وقت تتزايد فيه حالات استخدام السجائر الإلكترونية بين فئة المراهقين في الأردن، وسط غياب رقابة صارمة ووعي كافٍ بمخاطرها الصحية الجسيمة.








